Правила ухода за микроскопом

Как любой оптический прибор микроскоп требует бережного обращения. А с учетом того, что он является основным рабочим инструментом, влияющим как на принятие решения, так и на состояние здоровья тех, кто с ним работает, рассмотренные ниже правила являются жизненно важными.
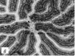
Дефекты в изображении, возникающие в результате загрязнения оптических поверхностей (рис. 15.1):
- снижение общего контраста (серый объект на сером фоне);
- невозможность получить резкое изображение препарата;
- неравномерность освещенности в изображении;
- «неспокойное» изображение, т.е. частичное исчезновение резкого изображения;
- цветная кайма или фон.


Рис 15.1. Характер изображения, полученного с помощью одного и того же объектива:
а, б, в - при загрязненной оптической поверхности фронтального компонента; г, д, е - после чистки поверхности. Как видно загрязнение фронтального компонента приводит к снижению контраста, разрешения, цветопередачи, яркости и освещенности в плоскости изображения.
Основные правила хранения микроскопа и ухода за ним
1. Микроскоп от проникновения внутрь пыли должен быть покрыт чехлом, лучше полиэтиленовым (или стеклянным колпаком). Микроскоп может храниться в ящике или шкафу.
2. Вынимая прибор из ящика, снимая с полки, а также при переносе с места на место микроскоп необходимо одной рукой держать за штатив, а другой придерживать за основание.
3. Необходимо оберегать микроскоп от механических ударов.
4. Каждый объектив должен быть ввинчен до конца в гнездо револьверного устройства, и четко зафиксировать в ходе лучей в рабочем состоянии микроскопа.
5. Необходимо предохранять фронтальные линзы объективов и конденсора, а также глазные линзы окуляров от соприкосновения с различными реактивами.
6. Нельзя без необходимости снимать бинокулярную насадку и прикасаться к поверхности тубусной линзы.
7. Нельзя касаться любой стеклянной поверхности пальцами рук, поскольку на поверхности остаются жирные следы. Это потребует проведения внеплановой чистки оптики, которая может повлечь за собой повреждение просветляющих поверхностей.
8. Категорически запрещается снимать «рубашку» (металлический корпус) объектива и заниматься его разборкой.
9. Во внерабочем состоянии микроскопа объективы должны быть опущены (при чем в ход лучей должен быть установлен объектив малого увеличения). При этом объектив не должен касаться предметного столика.
10. Для предохранения попадания пыли внутрь микроскопа (если отсутствует чехол) окуляры должны быть вставлены в окулярные трубки, а объективы ввинчены в гнезда револьверного устройства. Если окуляры отсутствуют, то на окулярные трубки необходимо сделать бумажный чехол, а там где нет объективов — необходимо в оставшееся гнездо вставить заглушку или заклеить его широким скотчем.
11. Рекомендуется перед началом или в конце работы оценить чистоту основных оптических поверхностей объектива, окуляров и конденсора микроскопа и в случае загрязнения немедленно подвергнуть их чистке.
12. Для продления срока службы ламп в осветителях рекомендуется не подвергать их резким перепадам напряжения и перед включением и выключением переводить регулятор накала нити лампы (реостат) в минимальное положение. Осветители, в которых отсутствует регулятор накала (реостат), для продления срока службы лампы рекомендуется реже выключать.
13. Раз в полгода необходимо проводить профилактическую чистку и смазку микроскопа представителями сервисной технической службы.
Опубликовано 25.06.2009
Источник: Егорова О.В. С микроскопом на "Ты". - РепроЦЕНТР М, 2006



